现在患有胃肠道疾病的人每年都在上升,可是愿意去医院定期做检查的人却很少,很多人觉得常规的检查方法,过程比较痛苦。而现在随着医疗技术的发展,使用数字胃肠一体机对胃肠道进行检查,不仅检查时间缩短,而且过程相对轻松,尤其对于年龄大的患者来说,比较适合。
普爱医疗的数字胃肠一体机—PLD8800
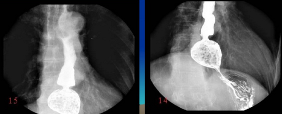
很多人没有接触到数字胃肠一体机,可能对它还比较陌生。其实它是一款多功能数字造影胃肠机,功能强大,操作便捷,可以真正实现数字化摄影,以及无胶片化管理,配置先进的工作站,可以保证其图像画质。同时它在临床上的应用也比较的广泛,能够检查多种疾病。下面,由普爱医疗小编详细列举一些。
2、选择性小肠造影。
3、气钡双重对比造影。
4、消化道支架置放。
5、食道支架。
6、静脉尿路造影。
7、外围血管造影。



