牙片是一种什么样的X光片?X光片是一个统称,比如胸片,腰椎片,牙片等都属于X光片。牙片是指牙齿的X线片,是X光片的一种,也称口内标准片。牙齿由牙冠和牙根两部分组成,通过肉眼看到的部分是牙冠部分,牙冠又分为牙釉质、牙本质、牙髓,除了外层的一点牙釉质,而如果牙齿里面出了问题,肉眼是无法观察到的。因此,为了对牙齿进行全面的了解,需要牙片机来拍片观察。

像拔智齿、做根管治疗(牙痛)、牙周病、种植牙、牙齿矫正等都需要进行拍片。接下来小编给大家介绍下牙片机的种类。
1、根尖片(小牙片)
根尖片一般的普通门诊医院都可以拍,费用也相对低廉,一般十几块到几十块钱不等。一般能拍到1~3颗牙齿,医生要观察单颗牙齿时会用到这种牙片,它可以帮助牙医确定个别牙齿?;?龋齿,俗称蛀牙)程度、炎症扩散范围、牙齿周围骨头状况、隔壁牙齿情况等等。
2、口腔全景片
是将全口牙齿和颌骨影像显示在X光片上,可以清晰、完整的显示上颌骨、下颌骨全貌,上下牙列情况、牙槽骨情况,能够清晰显示上颌窦情况以及颞颌关节情况,并对颌骨周围疾病的诊断提供准确有效的帮助。特别是在做牙齿矫正、种植牙、拔智齿等的时候一般需要拍摄这种牙片。
3、头颅侧位、正位片
这种牙片在正畸邻域应用最为广泛,诸如正畸(牙齿矫正)前的数据分析,制定矫正计划等,透露侧位片则是重要参考依据。
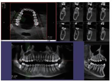
4、口腔CBCT(口腔CT)
CT相对其他牙片来讲,不管是功能还是设备上都是比较高级的,医生可在电脑上进行模拟种植360°的旋转查看口腔状况,不遗漏任何一个角落,主要用于根管治疗前、阻生牙、根尖囊肿、种植牙、正畸等。

目前常见的牙片机类型就是以上四种:根尖片(小牙片)、口腔全景片(曲面断层)、头颅侧位片和口腔CBCT,前两种较为常见,当遇到疑难病例,在X线牙片上出现可疑问题时,才需要加拍头颅侧位片和口腔CBCT。如果您想进一步了解口腔CBCT性能及参数,欢迎致电400-025-6366。



