拍口腔CT是在口腔治疗时常见的一种检查方式,很多人担忧做口腔CT辐射会不会很大,拍摄离大脑这么近,对大脑的健康会不会产生影响,那么,口腔治疗的过程中为什么要拍口腔CT?口腔CT的辐射到底对人体有多少影响呢?
首先,我们的牙根是埋在牙槽骨和牙周膜里面的,就像树根扎根在土壤中一样,肉眼是看不到的。因此,如果牙齿出了问题,就需要有“透视”功能的口腔CT来检查。

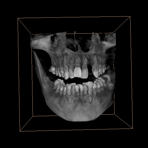
要了解牙齿的整体情况,必须拍摄全景片;要了解个别牙根及周围变化,则可以选择拍摄小牙片;要判断牙槽骨是否符合种植条件,或者了解埋伏阻生齿的三维位置以及其他颌骨内病变组织的形态大小时,则需要进一步拍摄口腔CT??谇籆T在治疗前用于发现病变程度、范围;治疗中引导治疗、确定治疗范围和治疗深度;治疗后观察疗效。拔智齿、做根管治疗、牙周病、种植牙、牙齿矫正等都需要进行拍片。因此,拍片对口腔医生诊断牙病,设计治疗方案,采取治疗措施,判断预后都有重要意义。
那么,口腔CT的辐射到底对人体有多少影响呢?
其实我们在日常生活的每时每刻,都处于辐射中。根据国际放射防护委员会(IRPA)提供的信息,每人每年受到的辐射剂量大约在2.5毫西弗(1毫西弗=1000微西弗)左右,这个数值受地域纬度的影响而波动。其中大约80%来源于自然界,20%来源于人工辐射。
口腔CT检查时,主要是针对口腔内部,属于一种立体的锥形束检查方式,放射的范围特别小,精确度高,而且检查的时间比较短,短时间内的辐射不会对人体造成影响。具体的辐射量与患者所使用的仪器的类型、扫描的时间以及扫描参数的设定,都是有关系的,但是都远远低于国家规定的安全值,所以单次的口腔CT并不会对人体产生明显的危害。
因此,拍摄口腔CT是必要的,而检查产生的射线对身体的影响也是微乎其微的,大家不必过度担心辐射会影响身体健康哦。



