随着人口老龄化的加重,很多医院的骨科和疼痛科的就诊人数持续上升,在检查的过程中,我们经?;峥吹秸庋豢钌璞浮?strong>动态DR。那你知道什么是动态DR吗?动态DR是一款多项功能复合的DR,具备数字化摄影、数字化透视、数字化胃肠、数字化造影等功能。它满足各类临床应用,全面兼顾骨关节、呼吸、消化及生殖泌尿临床检查,以及透视下定位、透视下穿刺等介入放射影像成像等检查。
动态DR与静态DR相比有哪些优势?
不同于常规静态DR只能进行平片摄影检查,动态DR可以满足多种临床检查需求,包括静态检查、透视检查、造影检查、脊柱及下肢全长拼接检查,相较于静态DR具有丰富的临床应用,且动态DR检查更准确、直观,摆位摄片效率极大地提升,大大节省拍片时间。
随着动态数字化X线摄影技术的进一步发展,动态DR有望全面取代常规静态DR,从根本上改变普通数字化X线摄影漏诊与误诊的临床弊端,极大提升DR诊断的准确性。

普爱医疗引领行业发展趋势,自主研发专为大视野临床应用打造的PLX8600平板动态DR,突破性的17*34英寸动态平板,整板拍摄不拼接,呈现更准确的长骨影像,有效简化影像科室检查流程,提高诊断精度,降低患者吸收的辐射剂量。
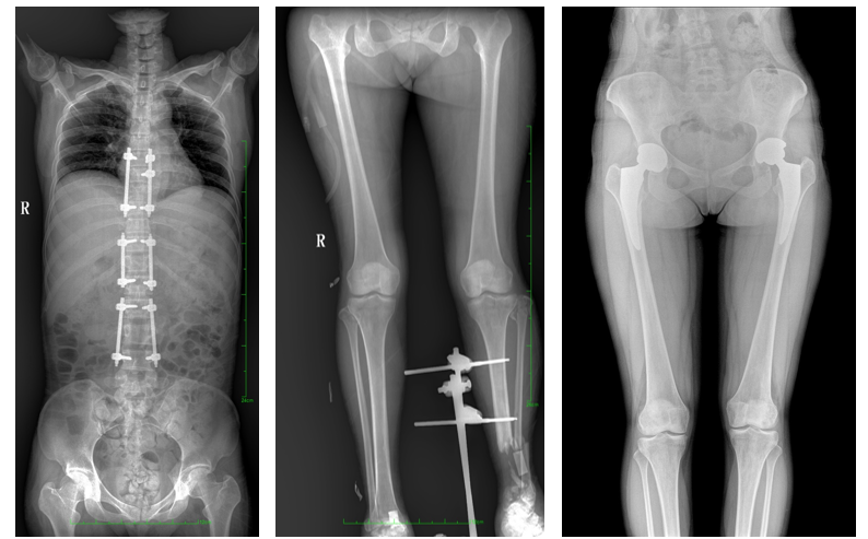
全脊柱一次成像 不拼接
17"*34"有效视野,是市面大尺寸平板的2倍,一次成像不拼接。相较于多张摄影再软件拼接的DR设备,PLX8600解决了拼接图像存在密度不均匀,拼接处图像配准和放大效应等问题,给临床带来了真正的大视野影像解决方案,高清画质,准确成像不失真,可一次性覆盖全脊柱或双下肢影像。PLX8600大视野平板动态DR摄影速度快,患者可以更快的完成检查,且单次摄影辐射剂量是常规多张摄影再软件拼接DR的1/2或1/3,低剂量给患者更多关爱。

大视野摄影/透视 一机多用
除常规静态摄影外,PLX8600大平板具备动态透视和点片功能,透视采集功能可支持大视野、多角度的可视化观察。通过可视化的动态影像,配合点片功能,能够很好的观察复杂部位病灶,有效的抓取关键帧,降低患者多次摄片的概率,安全又高效。如:全脊柱状态评估、长骨关节活动度、下肢静脉造影瓣膜功能评估、消化道功能评估、脊髓造影等更多大视野临床应用,多面手给医生更多惊喜。

PLX8600动态DR超大视野范围,一次成像不拼接,减少拍片次数,缩短拍摄时间,降低患者的辐射剂量吸收。全面应用于临床各科室,可应用于体检科、内科、外科、骨科、创伤科、急诊科等。如果您想了解更多大视野平板动态DR产品优势,欢迎咨询400-025-6366。


