脊柱侧弯在临床上指的是脊柱一个或数个节段在冠状面上偏离身体中线,并向侧方弯曲的情况,此种情况的存在会导致脊柱畸形的情况。医学研究认为,脊柱侧弯多见于颈椎、胸椎等部位,同时也可能单独发生于人体的腰背部。临床研究表明,脊柱侧弯多见于青少年群体,且近年来成年人的发病率也呈现出增加的趋势。而在脊柱侧弯发生后,临床需要及时进行治疗干预,以避免其对身体健康造成影响。
临床对于脊柱侧弯患者的治疗有手术治疗和非手术治疗两种方式,手术治疗的施行标准为Cobb角40°以及一些非手术治疗效果不甚理想的患者。在治疗脊柱侧弯患者的过程中,精准的诊断是至关重要的,临床常用的诊断方式有CT诊断以及MRI检查等。但是由于这些诊断方式的检查体位均为仰卧位,所以难以明确脊柱受压过程中其变化情况,导致检查结果不够精准。而相比于,CT诊断和MRI检查, DR在治疗的过程中,采取的是站立位检查体位,对脊柱变化情况影响较小,具有更加精准的检查结果,因此能够为后续的诊断和治疗带来方便。

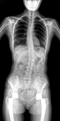
临床需要对患者的脊柱情况有全面了解,故而术前术后均需要均需要借助DR拍摄X光片便于分析病情、明确诊断及术后观察治疗效果。大视野动态DR可以对患者的脊柱进行长尺寸摄影,一次拍摄就能获取完整的脊柱全景图像。诊断医生通过拍摄后的影像测量全脊柱的生物角度、Cobb角等,为脊柱侧弯的畸形矫正患者术前术后的检查提供重要的诊断依据。
通过大视野动态DR进行全脊柱摄片,其得到的影像密度均匀、清晰、接缘处过渡自然。且操作更加便捷,不需要二次摄片然后进行图像拼接,拍摄时间短,效率高。在减少辐射剂量的同时也能为临床医生带来更精确的诊断信息。非拼接影像可保证双腿测量(如力线)数据的准确性,有效避免摄影信息的丢失。给手术医生提供准确的术前诊断数据,提高手术成功率。

综上所述,大视野动态DR进行全脊柱成像能够清晰的呈现骨关节结构,可以在全景脊柱图像基础上对角度值进行测量,能够很好的反映骨骼的真实比例与长度,为临床诊断和治疗提供了更精确的数据,有着重要临床应用价值。



