移动式C形臂X射线机有着二维和三维之分,它们都具备透视与摄影功能,能够为医生提供术中影像引导。
三维C形臂也被称为“术中CT”,它具备二维C形臂的全部功能。此外,它还具备三维成像功能,三维C形臂旋转采集多角度的二维投影数据,再通过计算机进行三维重建,能够生成横断面、矢状面、冠状面断层图像以及三维立体图像,提供更全面、更立体的解剖学信息。
三维C形臂采集的图像究竟比二维C形臂好在哪?下面我们结合临床病例的影像来解答!
二维正侧位影像
三维“类CT”影像
在临床使用中,三维C形臂能看到二维影像所观察不到的信息:
病例1:右侧股骨远端骨骺骨病(13岁)
二维影像看不到病灶点
三维切面影像可以看出病灶点
病例2 踝关节骨折复位(31岁)
在踝关节骨折复位手术中,用三维C可以更好地观察骨折部位的复位情况:
正侧位影像观察胫腓联合复位良好
从三维影像看,复位欠佳,贴合度不够
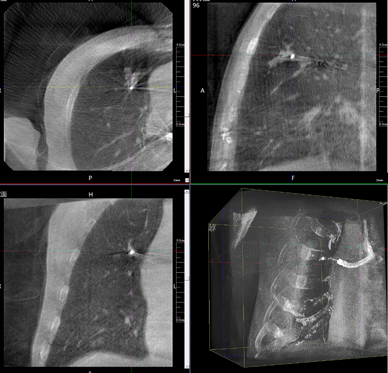
病例3:超声支气管镜下肺活检(80岁)
三维C形臂还可以创新性地应用在呼吸介入领域。例如,在经皮穿刺或经支气管镜肺结节活检、定位、消融等场景中,用于确认工具是否到达病灶、消融范围是否完全覆盖病灶等。
二维影像无法准确判断工具是否到达病灶
三维各切面影像都显示工具达到病灶内
二维C形臂提供的影像存在固有局限性,其成像原理是基于单一方位的投影,导致深部解剖结构信息缺失,且容易受到骨骼和组织的重叠干扰,使得部分病灶难以清晰显示,甚至被掩盖。相比之下,三维C形臂通过三维重建技术,可以获得类似CT的断层扫描图像,从而解决了二维影像的重叠问题。
医生能够利用这些三维图像,更直观、更深入地分析病变,进行全方位观察,例如:精确评估骨折复位情况、清晰显示内植入物的位置及其与周围组织的关系等。尤其在复杂骨折、脊柱手术、呼吸介入等临床场景中,三维C形臂提供的详细信息对手术导航和疗效评估至关重要。



