
-
X射线设备的平板探测器有哪些类型
无论是医用还是商用,一台X射线设备都是价值不菲,其中平板探测器占了整机成本的较高部分。因此,了解平板探测器的类型和特点,对于我们选购X射线设备有着重要的指导意义。目前市场上常见的X射线探测器,大致分为以下三种材料类型。...
发布时间:2023-10-13 10:20:05

-
手术机器人的导航和定位有什么区别
利用先进的机器人技术,配合高精度的图像导航和定位技术,手术机器人能够实现精确的手术操作和高效的治疗效果。其中,定位与导航技术是机器人辅助手术中的核心组成部分,也是影响手术质量和效果的关键因素。...
发布时间:2023-10-11 00:00:00

-
C型臂X射线机的重要参数有哪些
一台设备的好坏,很大程度上取决于它的一些重要参数。C型臂X射线机的重要参数有哪些呢?1.平板探测器的尺寸平板探测器的尺寸越大,能够获得的成像视野就越大。21CM×21CM的平板,一般只能成像3.5节腰椎。而像普爱PLX1...
发布时间:2023-09-22 10:02:02

-
数字胃肠机故障维修案例:DSI点片屏幕调不出图像
数字胃肠机是用来检查胃肠道疾病的X线检查设备,当胃肠机设备出现故障时,首先要分析故障原因,然后再寻找排除故障的方法。今天南京普爱医疗为大家分享一则数字胃肠机故障维修案例:一台国产数字胃肠机透视正常,DSI点片屏幕图像区全...
发布时间:2023-09-07 15:36:04

-
移动dr招标参数包括哪些 医院关注这些技术参数
公立医院采购移动dr时,会根据临床实际需求来进开展招标工作。移动dr的招标参数包括哪些?一般来说,医院的移动dr招标会对以下这些技术参数提出要求。...
发布时间:2023-08-24 15:26:47

-
国内骨科手术机器人市场规模/现状前景分析
骨科手术机器人在国内的市场规模有多大,又呈现出什么样的特点?下面带来详细分析。现阶段已有大量国内企业开始布局手术机器人产品,其中不少厂家以脊柱手术机器人为开发方向,如南京普爱医疗于2022年6月申报“PL300B脊柱外科...
发布时间:2023-08-15 16:37:09

-
2023介入医师年会举办在即 普爱医疗与你相约南京
普爱医疗作为一家拥有20年行业沉淀的老牌影像企业,C形臂国内市场占有率多年位居行业领先地位,本次CCI 2023介入盛会,普爱医疗特携移动式平板介入中C和手术机器人精彩亮相。...
发布时间:2023-08-04 16:02:28

-
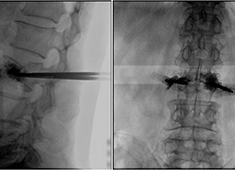
C臂机在打骨水泥时是怎么使用的(PKP手术记录)
在打骨水泥时通常要借助C臂机来进行,具体是如何使用的呢?下面通过南京医科大学第二附属医院的一则手术案例来深入学习。首先将患者处于俯卧位,然后利用普爱大平板C臂机摆位灵活的特点,快速定位椎弓根位置...
发布时间:2023-07-13 17:50:29

-
骨科手术机器人收费标准:导航功能2000元封顶
骨科手术机器人的收费标准是由设备的实际作用来定的,如骨科手术机器人只发挥了手术规划功能,则不另立项收费;如骨科手术机器人发挥了导航定位功能,则在手术价格基础上加收40%(2000元封顶);如完成了手术部分核心操作步骤,则...
发布时间:2023-07-04 18:11:23

-
骨科手术机器人的核心技术——定位导航技术
骨科手术机器人的核心技术是什么?答案是定位导航技术。这是技术发展的热点领域,也是是骨科手术机器人企业重点布局的领域。在骨科手术机器人相关技术的专利申请中,定位导航技术的专利申请量占比超过三分之一以上,申请量次之的领域还包...
发布时间:2023-06-30 10:59:46


