【适用场景】
重症监护室、传染病病房、骨科、病房
【临床应用与优势】
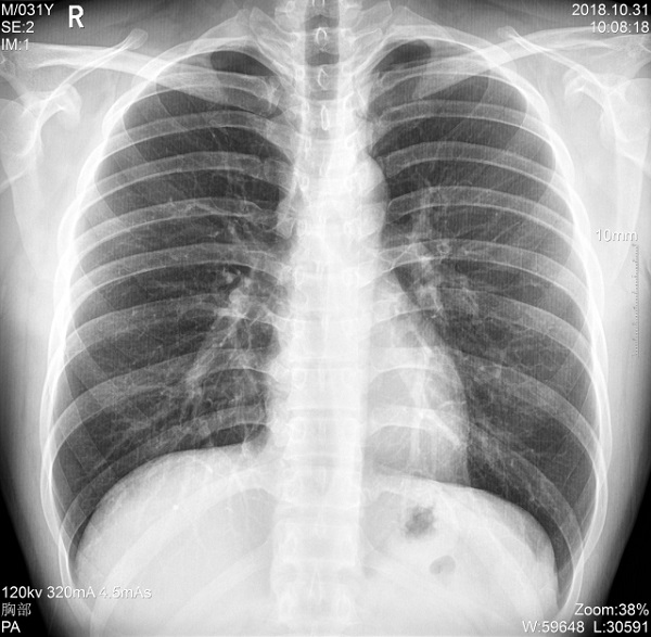
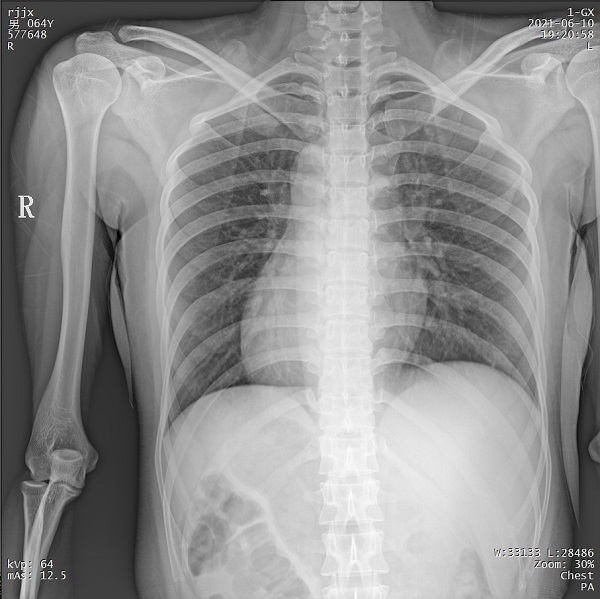
一、肥胖患者、组织较厚部位清晰成像
管电流大小与设备输出X射线的能力相关,管电流越大,设备输出的射线量越充沛。PLX5500的最大管电流达到了710mA,输出的射线能够满足各体型患者的拍摄需求,即便是体重达上百公斤的患者,也能够获得清晰的图像。
二、1ms 短时曝光 定格心肺运动瞬间影像
PLX5500能够在最短1ms的曝光时间内输出足量的X射线,获取清晰图像。特别适用于拍摄肺炎、尘肺病、肺结核等难以憋气的患者,避免了因患者肺部呼吸运动而产生的运动伪影的影响,瞬间定格清晰图像,以供医生精确诊断。
三、支持高千伏摄影 肺部纹理更有层次
PLX5500的最大可调千伏达到150kV,在达到一定高电压后,与骨骼相重叠的软组织或骨骼本身的细小结构及含气的管腔等,均可清晰显示。
四、创伤患者可通过床旁摄影获取高质量图像
PLX5500凭借充沛的射线输出,能够在床旁对各体型创伤患者的各部位进行拍摄,输出清晰图像,辅助医生进行精确诊断。患者无需带伤前往放射科拍摄,降低二次伤害风险。
五、小巧灵动 摆位轻松
PLX5500采用双轮双驱电动助力系统,推行轻松,可实现零半径转弯,便于在狭小空间里移动。双电机与精巧的机械设计结合,女性操作者也能轻松单手推行。此外,充沛的动力储配使得PLX5500几乎可以轻松跨越医院内的任何坡、坎儿,保证设备在院内畅行无阻。
注册证编号:苏械注准20222061380
广告批准文号:苏械广审(文)第270622-18932号







